Koty – wyjątkowi pacjenci stomatologiczni
04.04.2016


Wszyscy wiemy jak wyjątkowe są to zwierzęta, chodzą własnymi ścieżkami, mają też własne problemy stomatologiczne, o których warto wiedzieć. Dziś krótko o jednym z nich.
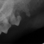
40% kotów cierpi na FORL czyli Feline Odontoclastic Resorptive Lesion. W rutynowym badaniu jamy ustnej choroba ta bardzo często nie daje żadnych objawów.
Najczęściej zaczyna się zwykle w wieku około 5 lat, nie jest to jednak reguła, mogą chorować zwierzęta starsze i młodsze. Ze względu na ekspozycję otwartych kanalików zębinowych oraz miazgi choroba jest bardzo bolesna. Najlepszą formą jej szybkiego diagnozowania jest wykonanie pełnego kompletu zdjęć rentgenowskich jamy ustnej. Każdy kot trafiający na zabieg stomatologiczny, niezależnie od przyczyny, ma wykonywane zdjęcia RTG wszystkich zębów. Cyfrowa radiografia wewnątrzustna pozwala nam to w zaledwie kilka minut uzyskać zdjęcia w doskonałej jakości, umożliwiające diagnozowanie wielu bolesnych problemów w jamie ustnej naszych podopiecznych i wdrożenie właściwego leczenia.
Robimy wszystko aby usługi świadczone przez nas były na najwyższym poziomie. Posiadamy doskonale wyposażony gabinet stomatologiczny z rentgenem cyfrowym oraz nowoczesnym unitem.
Serdecznie zapraszam!
Członek European Veterinary Dentistry Society oraz sekcji stomatologicznej Polskiego Stowarzyszenia Lekarzy Weterynarii Małych Zwierząt.